Ameloblastoma
Definition:
Ameloblastoma is a benign locally aggressive neoplasm arising from the odontogenic epithelium and it is the most common odontogenic neoplasm of the oral cavity.
It was described by Robinson in 1937, as a benign tumor that is:
UNIAC
“usually unicentric, nonfunctional, intermittent in growth, anatomically benign and clinically persistent.”
Etiology
- Trauma
- Infection
- Previous inflammation
- Extraction of tooth
- Dietary factors
- Viral infection
- Enamel organ of the developing tooth germ.
- Cell rest of Serre (remnants of dental lamina).
- Epithelial lining of the odontogenic cysts,especially the dentigerous cyst.
- The basal cell layer of the oral epithelium(rarely).
- Reduced enamel epithelium.
- Cell rest of Malassez
Clinical Features:
Incidence: Approximately one percent among all
oral tumors and 18 percent of all odontogenic
tumors are ameloblastomas.
Age: Second, third, fourth and fifth decade of life,
the mean age of occurrence is about 32 years.
Sex: Males are affected more often than females.Tumorsize is usually larger in women
Site: Mandible(80%), especially in them molar-ramus area (70%), although some lesions may develop in the premolar (20%) or symphysis(10%) regions.
Clinical Presentation
- Slow, enlarging, painless, ovoid or fusiform bony hard swelling of the jaw
- Expansion and distortion of cortical plates of jaw and displacement of regional teeth
- Untreated lesions cause extensive destruction leading to "Egg-Shell Cracking" and "Pathological Fracture"
Radiographic Features
- A well-defined, multilocular, radiolucent area in the bone with a typical “honey-comb” or “soap-bubble”appearance
- Few lesions can be unilocular too
- If loculations are large: " Soap-bubble" appearance
- Small loculations: "Honey combed appearance"
- Resorption of roots of adjacent teeth
- May be associated with unerupted tooth
- Margins: Scalloping
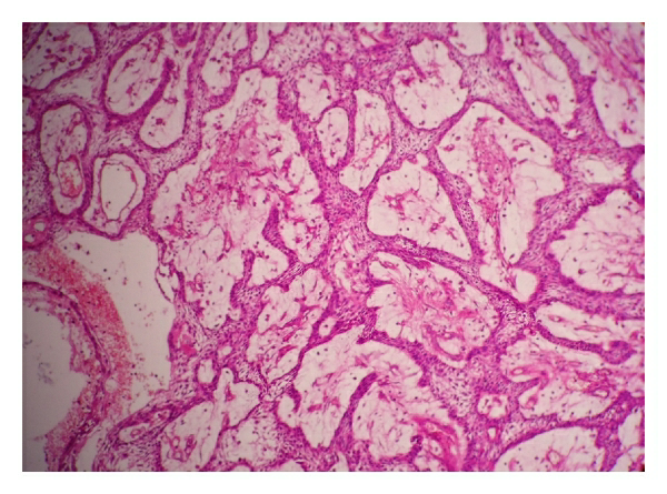
- Follicular : Most common
- Plexiform
- Granular
- Desmoplastic
- Basal Cell Pattern
- Peripheral layer of tall columnar cells with Hyperchromasia
- Reverse polarity of nucleus
- Subnuclear vacuole
- In follicular type, the neoplastic odontogenic epithelial cells proliferate in the form of multiple, discrete follicles or islands within the fibrous connective tissue stroma
- Each follicle is boarded by single layer of tall columnar cell with reverse polarity
- Central core of loosely arranged cells resembling stellate reticulum
- Cyst formation is common
- Neoplastic odontogenic epithelium proliferates in long anastomosing strands or large sheets
- "Fishnet appearance"
- Extensive squamous metaplasia
- Keratin formation in central portion of follicular ameloblastoma
- May be confused with Squamous Cell Carcinoma
- Epithelial cells transform into granular cells
- Cells have eosinophilic granules
- Clinically aggressive
- Islands and chords of odontogenic epithelium with densely collagenized stroma
- Least Common Type
- Nests of uniform basaloid cells








Comments
Post a Comment